欢迎来到商城县人民医院
您现在的位置: 首页 > 医院动态 > 院内资讯 >

医院动态

院内资讯

勇攀“心”高峰——记商城县人民医院心血管内科介入能力再突破!

更新时间: 2023/10/20    浏览数: 3996



近日,商城县人民医院完成了一例精彩的心肌梗塞急诊手术。在手术过程中,患者病情扑朔迷离,历经一波三折,但最终在团队的共同努力下取得圆满成功,这次手术充分展示了我院胸痛中心的综合实力和日益精进的心脏介入治疗水平。



1697763829786566.jpg




10月15日上午,心电图室王琳主任通过云心电系统,发现了观庙镇卫生院有一名急性下壁心肌梗死患者就诊,随即将其检查结果第一时间发至商城县人民医院胸痛中心微信群中,胸痛中心熊晨晖主任及值班医师刘燃迅速作出回应,电话联系观庙镇卫生院,指导首诊医师与患者及家属沟通病情,建议立即来我院胸痛中心就诊,并提前告知需行冠脉微创介入治疗。

随后,120救护车将患者送至我院急诊抢救室,复查心电图显示为急性下壁心肌梗死,与此同时,刘燃医师已赶到急诊科查看患者。这是一名82岁的女性患者,大概半天前突发胸骨后刺痛,疼痛持续不缓解,有“濒死感”,刘医生给出诊断:急性下壁ST段抬高型心肌梗死。在与患者及家属充分沟通取得同意后,立即启动导管室,为患者进行急诊冠脉造影+PCI术治疗,心血管内科介入治疗相关人员迅速就位,手术即刻开始。

然而,患者急诊冠状造影结果显示:左右冠脉主干血管未见明显狭窄,无法确定“罪犯血管”,但是患者心电图提示下壁仍然持续抬高,胸痛症状得不到缓解,病情扑朔迷离。一直在导管室指导的熊晨晖主任仔细观察了影像结果,发现患者右冠细小,回旋支远端可为右心供血,可能为“功能性右冠脉”,所以考虑回旋支远端为“罪犯血管”。随即邀请郑州大学第一附属医院心内科教授远程会诊,教授同意熊主任的观点,认为左旋支可能是“罪犯血管”,但认为回旋支远端较细、且供血区域局限,介入手术治疗获益不能肯定,可以尝试手术看看效果,也可以先药物治疗。

2023-10-19_勇攀“心”高峰——记商城县人民医院心血管内科介入能力再突破!_6.jpg

右冠脉细小,未见明显狭窄

2023-10-19_勇攀“心”高峰——记商城县人民医院心血管内科介入能力再突破!_7.jpg

前降支未见明显狭窄

2023-10-19_勇攀“心”高峰——记商城县人民医院心血管内科介入能力再突破!_8.jpg

回旋支未见明显狭窄,远端可见慢血流

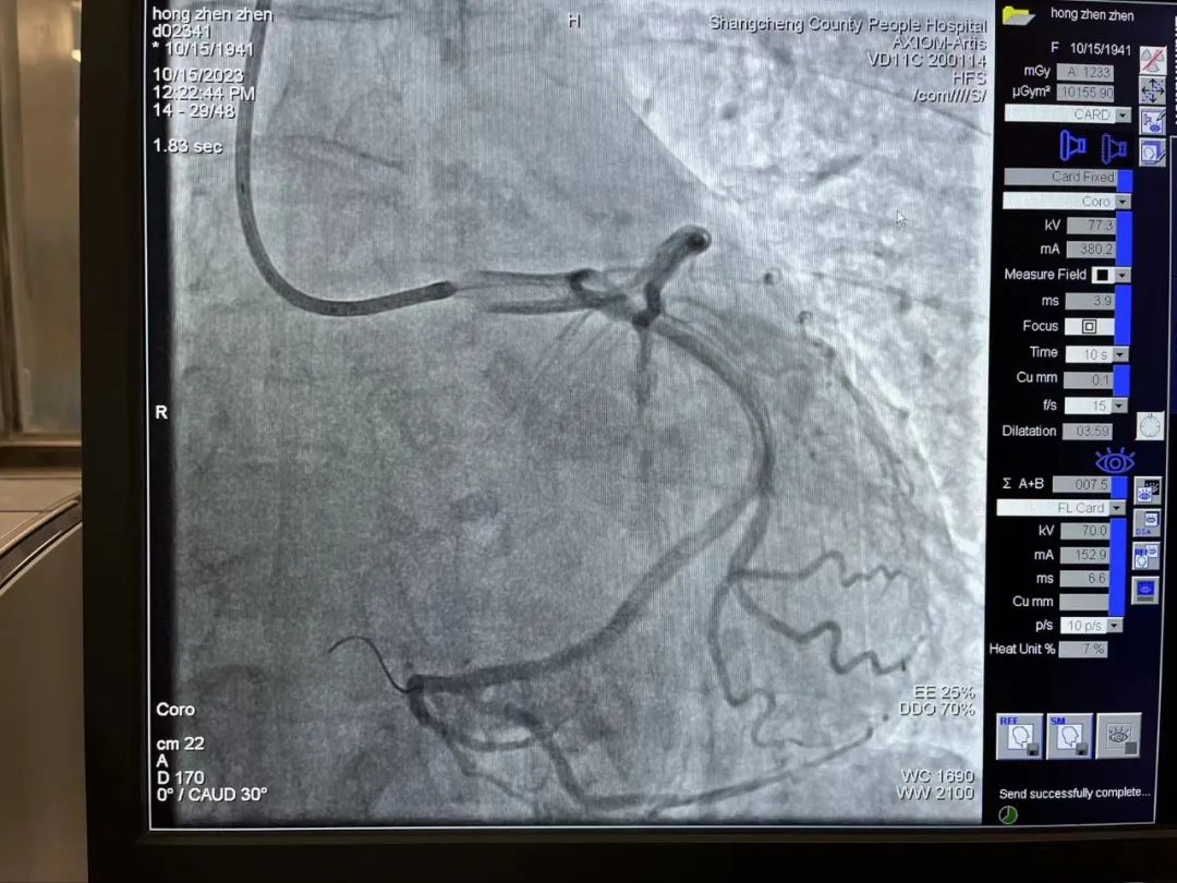
1697763870661024.jpg

回旋支远端完全闭塞

此时,患者的胸痛症状丝毫没有缓解,复查心电图显示下壁导联ST段仍持续抬高。患者病情刻不容缓,经过短暂思考后,熊主任当机立断:尝试开通回旋支远端血管!在熊主任的指导下,刘燃医师小心翼翼的置入预扩球囊扩张回旋支远端,果然发现左旋支直径2.5mm,是右心供血功能血管。但是血管扩张后患者突然出现心率减慢、血压降低的现象,面对这种突发状况,熊主任考虑患者是再灌注后血管痉挛、心律失常,刘医生立即向冠脉内注射硝酸甘油200μg,随后患者心率、血压回升到正常。在进行重复造影后可见患者回旋支远段粗大且长,延伸至右心,再次确定回旋支远端为“罪犯血管”。经过球囊扩张手术后,血管狭窄解除,血流3级,心电图提示下壁导联明显回落,胸痛症状明显缓解,手术有效,抢救成功!


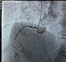
1697763889549360.jpg
1697763915209778.jpg

PTCA术后可见回旋支粗大且长,延伸至右心,给右心供血

在院党委的正确带领下,我院心血管内科多年来稳步发展,依托胸痛中心的创建和国家标准化心血管病诊疗中心的落户,心血管内科开展了多例心脏血管内超声,高危、复杂心肌梗死患者介入术、冠状动脉旋磨术等手术,凭借着优质、高效的医疗服务赢得了患者交口称赞。团队不忘初心、励志进取,锤炼出一支技术力量雄厚、年轻富于激情的心脏介入诊疗团队,此次救治的患者病情复杂且多变,是一个经典的案例,而手术由心内科年轻医生刘燃医师主刀完成,是科室人才队伍成效的直观体现。未来,心血管内科团队全体医护人员将始终坚持“一切以病人为中心”的服务宗旨,不断精进技术,夯实专业功底,优化救治流程,使急性胸痛患者能在尽可能短的时间内得到最有效的关键性治疗,为广大人民群众的心血管健康保驾护航!



科室链接


胸痛中心:19837622156

熊晨晖:13607615388

健康就诊地址:

门诊二楼心血管内科1诊室;

心血管内科2诊室

健康就诊地址:

2号病房楼3楼心脏重症监护室;

4楼心血管内科

1697763942475072.jpg


1697763957506406.jpg

临床医技科室通讯录


2023-10-19_勇攀“心”高峰——记商城县人民医院心血管内科介入能力再突破!_16.jpg

版权所有:Copyrights © 2020 www.scxyy.cn All Rights Reserved 商城县人民医院

ICP备案号:豫ICP备19025937号-1 豫公网安备41048202000000号

技术支持:河南微监