更新时间: 2023/02/17 浏览数: 3084



近日,在商城县人民医院骨科二病区李方辉副主任的指导下,商城县医健集团上石桥分院成功开展一例右胫骨骨折切开复位内固定手术。


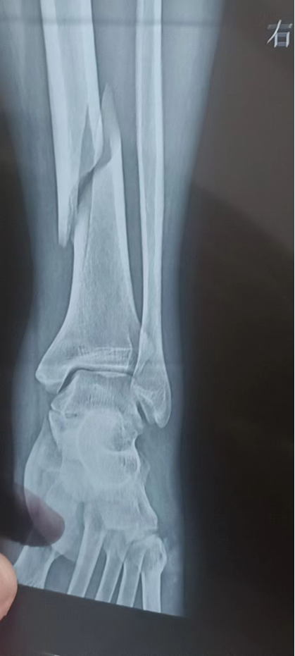
据了解,该男性患者在行走时不慎摔倒致右下肢疼痛伴有明显的活动受限,急忙到上石桥分院门诊就诊。检查提示其右胫骨骨中下段骨折。患者及家属要求由上级医院专家指导下进行手术治疗,遂汇报至商城县医健集团。集团在了解情况后,决定派我院骨二科李方辉副主任医师去上石桥分院指导开展手术。


在综合考虑患者的身体状况与患者本人意愿后,决定为患者实施手术治疗。在李方辉副主任指导下,该患者于2月8日下午17:02在腰椎麻醉下行右胫骨骨折切开复位内固定术,手术过程十分顺利,术中已解剖复位。术后复查提示骨折端已复位,对位对线良好,内固定稳定,患者对手术效果非常满意。




家门口就能看病就医,疑难杂症不用出远门,对于老百姓来说,这是县域医共体建设带来的最切身和最直观的实惠。
通过医共体建设,让患者能够在家门口就获得优质医疗资源的救治,大大节省患者就医的费用。自我县紧密型医共体商城县医健集团成立以来,县域内医疗资源进一步得到了整合共享,基层医疗服务能力有效提升,逐渐形成以“县人民医院为龙头,乡镇卫生院为枢纽,村卫生室为基础”的县乡一体化管理协作机制,逐步建立基层首诊、双向转诊、急慢分治、上下联动的分级诊疗模式。
作为医健集团牵头单位,商城县人民医院利用技术帮扶、技术指导、远程会诊、人才培养等有效手段,让优质医疗资源更多下沉到各分院,上下联动、分工协作机制进一步完善,不断提升基层医疗机构服务能力,完善基层医疗服务体系,让群众在家门口就看得上病、看得好病,增强群众就医获得感。


2023年,商城县人民医院将进一步深化医共体建设,结合各成员单位的实际需求,尽己所能开展覆盖面广、针对性强的帮扶工作,充分发挥县域龙头作用和技术辐射作用,持续提高医疗服务质量和水平,推动医健集团各成员单位共同发展,更好地满足大别山区人民群众对医疗服务的需求。



版权所有:Copyrights © 2020 www.scxyy.cn All Rights Reserved 商城县人民医院
ICP备案号:豫ICP备19025937号-1 豫公网安备41048202000000号
技术支持:河南微监